IMPLANTOLOGIA
L’implantologia consente di sostituire i denti persi con degli impianti dentali, vere e proprie radici artificiali, che sommerse dentro l’osso residuo, permettono di sostituire uno o più denti, fino a permettere la riabilitazione masticatoria di un settore della bocca o addirittura di un intera arcata. Gli impianti dentali sono in titanio, materiale con notevoli proprietà osteointegrative e biocompatibili. Quelli di nuova generazione addizionati di materiale altamente osteogenetico, hanno ulteriormente ridotto il rischio di insuccesso. Alla completa integrazione della radice artificiale, verrà attaccato il moncone che farà da tramite per la cementazione del nuovo dente. Il posizionamento dell’impianto può avvenire in un osso guarito dopo l’estrazione (IMPIANTO TRADIZIONALE) o subito dopo l’estrazione stessa (IMPIANTO POST-ESTRATTIVO). L’applicazione del nuovo dente può essere fatta subito dopo l’inserimento dell'impianto (CARICO IMMEDIATO) o dopo un periodo di integrazione ossea variabile dai 3 ai 6 mesi. La decisione della tecnica da adottare verrà presa per ogni singolo paziente, in base alle caratteristiche dell’osso e all’anatomia dei mascellari, dopo un’attenta valutazione clinica e radiologica, mediante radiografie panoramiche o T.C. standard o tridimensionali.
Il paziente con un ponte da 2.4 a 2.6,. si è presentato in studio per frattura dell'elemento 2.4, pilastro di ponte. Si è optato per una tecnica mista, associando l'implantologia classica per sostituire l'elemento 2.5 a quella post-estrattiva per l'elemento 2.4. L'intervento ha richiesto l'utilizzo di osso sintetico e fattori di crescita (PrGF).
Il paziente si è presentato in studio per una frattura della radice di 2.4, già riabilitato protesicamete con perno fuso. L'intervento ha comportato l'impiego contestuale di osso sintetico e fattori di crescita (PrGF)
Il paziente presentava frattura della radice di 1.5 e parodontopatia grave di 1.4. Dopo l'estrazione dei due elementi, sono stati posizionati contestualmente due impianti, previo mini rialzo di seno con Bio-Oss® e PrGF autologo.
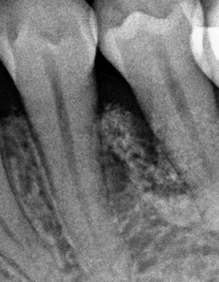
CHIRURGIA ORALE (Rialzo di Seno mascellare e Innesti Ossei)
La chirurgia orale ambulatoriale, si occupa del trattamento delle patologie intraorali che possono interessare l'osso di supporto del dente, le gengive, le ghiandole salivari minori e altri componenti anatomiche all'interno della bocca. L'ATROFIA OSSEA è uno degli eventi più frequenti. L'osso di sostegno dell'elemento dentario, in seguito ad estrazione del dente o a patologia infiammatoria (ascessi ripetuti o granuloma), va incontro a riassorbimento. Nel primo caso sarà necessario apporre nuovo osso, nella seconda evenienza sarà necessario prima rimuovere l'elemento causale e poi innestare nuovo osso. L'osso può, a seconda dei casi, essere prelevato direttamente al paziente o fornito da case produttrici di osso sintetico.
Le pregresse estrazioni, hanno portato ad atrofia dell'osso alveolare, evidenziata da Panoramica dentaria e da TC volumetrica. Il rialzo di seno, ha permesso di ristabilire una quantità di osso adeguato per una successiva riabilitazione con impianti.
CHIRURGIA ORALE (Frenulectomia)
Nel periodo dell’ossificazione dei mascellari (10/12 anni) e dell’ulteriore sviluppo dei tessuti molli della bocca, i frenuli labiali e/o linguale possono risultare più corti. La presenza di un FRENULO LABIALE SUPERIORE CORTO può essere la causa della presenza del diastema (spazio tra i due denti) o può sostenere l’apertura di un diastema trattato precedentemente. Il FRENULO LABIALE INFERIORE CORTO, può determinare in età adulta la comparsa di retrazioni gengivali a carico degli incisivi inferiori. Il FRENULO LINGUALE CORTO, può provocare inclinazione linguale degli incisivi inferiori, diastemi interincisivi, rotazioni dei denti, deglutizione atipica spesso associata a disturbo nella pronuncia delle consonanti linguali, con la necessità di una terapia logopedica di sostegno.
Frenuloplastica in paziente di 8 anni che presentava frenulo linguale superiore corto e conseguente ostacolo all'allineamento ed avvicinamento degli incisivi centrali (diastema)
Iniziale diastema da frenulo labiale superiore corto, risolto chirurgicamente in 4 mesi, senza necessità di ortodonzia.
CHIRURGIA ORALE (Estrazione dei denti del Giudizio)
CHIRURGIA ORALE (Disinclusione dei canini)
CHIRURGIA ORALE (Cisti dei mascellari)
Le lesioni osteolitiche dei mascellari, più comunemente chiamate CISTI, possono originare da cause molteplici: residui embrionali dentari (CISTI ODONTOGENA), evoluzione cistica del follicolo di un dente incluso (CISTI FOLLICOLARI), evoluzione cistica di un granuloma apicale nei denti devitalizzati (CISTI RADICOLARE), dai tessuti di supporto del dente (CISTI PARODONTALE), in seguito all’avulsione di un dente (CISTI RESIDUA), in seguito ad un trauma (CISTI OSSEA SOLITARIA o TRAUMATICA o EMORRAGICA) le cause più comuni. Si manifestano con episodi ascessuali, tumefazioni delle ossa mascellari dal lato esterno o dal lato linguale/palatale, mobilità dentaria, comparsa di fistole con fuoriuscita di materiale purulento. La loro rimozione, associata o meno alla resezione parziale del dente interessato (APICECTOMIA), porta alla completa guarigione dell’osso. In casi di lesioni molto grandi, può rendersi utile l’utilizzo di osso sintetico per colmare la cavità residua.
Neoformazione endossea ad origine dalla radice di un dente devitalizzato con estensione all'osso e al dente circostante. Exeresi della neoformazione, apicectomia del dente ritrattato ed innesto di osso sintetico e PrGF autologo.
CHIRURGIA ORALE (Rigenerazione Ossea)
La rigenerazione ossea è caratterizzata dall’utilizzo di materiale osseo eterologo, comunemente detto osso sintetico, unitamente a derivati piastrinici del paziente, per trattare le patologie della bocca che portano a perdita di osso, quali le cisti endossee, LA PARODONTOPATIA CRONICA DELL’ADULTO, difetti ossei di denti inclusi precedentemente estratti e tutte quelle situazioni in cui l’innesto di osso sintetico, permette una nuova stabilità dentaria o la possibilità di inserire un impianto laddove non sarebbe stato possibile.
Il paziente si è presentato (Giugno 2008) nello studio per una improvvisa mobilità dell'elemento 3.5. Il sondaggio e la radiografia endorale evidenziavano una tasca mesiale di 6 mm. con estensione linguale e vestibolare. Dopo allestimento di lembo chirurgico e ampio curettaggio del materiale infiammatorio, la cavità residua è stata riempita con osso sintetico miscelato con derivati piastrinici del paziente. I controlli a 6 mesi e a oltre 5 anni (Dicembre 2013) hanno evidenziato il discreto mantenimento del picco osseo e la stabilità dentaria.
ESTETICA PERIORALE
Con l’avanzare dell’età lo spessore delle labbra diminuisce e la zona adiacente è soggetta ad un assottigliamento cutaneo che mette in evidenza anche le rughe che dal naso scendono verso la bocca a segnare il sorriso. Il fisiologico riassorbimento dell’osso a livello dei mascellari, che fungono da sostegno di questi tessuti, contribuisce ad aggravare l’inestetismo. I trattamenti più adatti per ringiovanire il profilo della bocca ed i suoi contorni sono i filler di acido ialuronico. L’iniezione di questa sostanza, naturale costituente della cute e dei liquidi di lubrificazione delle articolazioni, permette di aumentare il volume delle labbra e nutrire ed idratare il tessuto cutaneo. Sono perfettamente riassorbibili e non creano alcun tipo di reazione allergica, a fronte di fastidi minimi per i pazienti. L’applicazione viene fatta con un’anestesia locale e a livello ambulatoriale, con minimo disagio da parte del paziente. L’effetto di idratazione e generale ringiovanimento ha una durata variabile, in relazione al prodotto utilizzato, al tipo di pelle, alla profondità di iniezione. Tali trattamenti possono essere ripetuti, senza controindicazioni, anche più volte in un anno e restituiscono al viso un aspetto più giovane. Possono anche essere considerati parte integrante di una riabilitazione protesica per una valorizzazione del nuovo sorriso.
La paziente in seguito a terapia ortodontica, lamentava ipoplasia del labbro superiore, corretta con filler all'acido ialuronico. Contestualmente si è ridefinito il contorno labbra
ODONTOIATRIA ESTETICA
L’aumentata esigenza estetica della nostra società interessa anche l’odontoiatria ed un sorriso accattivante conquista ed influenza in modo decisivo la fiducia in se stessi. Lo sbiancamento dentale e l’utilizzo di faccette in casi di notevole compromissione dentale sono pratiche ampiamente utilizzate a livello ambulatoriale e di sicura efficacia per riacquistare il sorriso perduto
ODONTOIATRIA CONSERVATIVA
L’odontoiatria conservativa opera per ripristinare la funzionalità e l’estetica originale dei denti attraverso ricostruzioni dirette, le cosiddette otturazioni, o indirette, eseguite in laboratorio e applicate successivamente in bocca. E’ rappresentata da una serie di procedure per “conservare” i denti interessati dalla carie, con l'eliminazione del tessuto dentario rammollito o fratturato. La successiva ricostruzione anatomica del dente avviene con l'utilizzo di materiali estetici che hanno ormai sostituito l’utilizzo dell'”amalgama”. A parità di resistenza ai carichi masticatori, risultano decisamente migliori le caratteristiche estetiche.
Un trauma sportivo ha determinato la frattura del dente incisivo con notevole perdita di tessuto dentario. Con test di vitalità positivo si procede alla ricostruzione estetica del dente
Un paziente con l'abitudine a stringere, serrare o digrignare i denti, si è presentato in studio con una frattura del margine incisale dell'incisivo laterale destro, ricostruito con materiale altamente estetico
L'elemento 1.2, si presentava microdontico fin dal suo sviluppo; appariva cioè più piccolo rispetto alla grandezza standard degli incisivi laterali. Al termine dell'ortodozia per riallineare i denti, il dente è stato completamente ricostruito.
SBIANCAMENTO DENTALE
Lo sbiancamento dentale conferisce maggior brillantezza e biancore alla dentatura che si è scurita in seguito a utilizzo di ANTIBIOTICI (tetracicline),PIGMENTAZIONI BATTERICHE, CIBO (caffè, tè, vino rosso, frutta e verdura colorata, bevande a base di cola), TABACCO e cambiamenti fisiologici legati all' INVECCHIAMENTO DEI TESSUTI DENTALI (smalto e dentina). Il materiale utilizzato è un gel (generalmente a base di Perossido di Carbammide), applicato sulla superficie del dente e attivato con una lampada alogena apposita. La sostanza penetrando nelle microporosità dello smalto e dei piani superficiali dentinali, libera ossigeno attivo ed elimina le sostanze pigmentanti. Oltre al TRATTAMENTO IN POLTRONA, con l’applicazione diretta del gel sulle superfici dentali, da parte dell'igienista, sul riunito odontoiatrico per circa un’ora, puo rendersi necessario l’uso di apposite mascherine trasparenti personalizzate (simili ad un paradenti degli sportivi) da indossare a casa durante la notte (TRATTAMENTO DOMICILIARE).
PROTESI FISSA
La protesi fissa permette di sostituire uno o più denti mancanti, per ripristinare la masticazione, per impedire lo spostamento dei denti contigui e ottenere una riabilitazione estetica. La sostituzione può interessare un dente singolo (CORONA) o più denti (PONTI), addirittura un'intera arcata (CIRCOLARE). La caratteristica di tutti è la loro fissità, cioè l'impossibilità della loro rimozione, essendo essi fissati ai denti per mezzo di cementi, per cui si crea un legame più o meno indissolubile tra la protesi e i denti pilastro, cioè i denti sui quali appoggia la protesi stessa.
I due incisivi centrali, retroinclinati da malposizione dentaria, erano scuriti da pregresse carie e conseguenti terapie endodontiche. Dopo ritrattamento endodontico e sbiancamento interno, sono stati ricostruiti, preparati modificando l'asse principale e ricoperti da corone in ceramica integrale, previe multiple gengivoplastiche ad elettrobisturi e condizionamento tissutale mediante ribasature progressive.
SEDAZIONE COSCIENTE
La “paura della poltrona odontoiatrica”, pur se notevolmente ridotta negli ultimi anni, rimane ancora, per molti pazienti, l’ostacolo principale per sottoporsi a cure odontoiatriche, con peggioramento progressivo della salute orale e maggiori problematiche riabilitative. La SEDAZIONE COSCIENTE in odontoiatria, conosciuta anche come analgesia sedativa, tecnica innovativa negli ultimi anni in Italia, ha già conquistato una larga fascia di pazienti. Consigliata a tutti quei pazienti che vivono con ansia, agitazione o angoscia l’intervento odontoiatrico, la sedazione cosciente è in grado di desensibilizzare la mucosa orale, alzando la soglia del dolore e favorendo un senso di tranquillità, utili per eseguire ESTRAZIONI MULTIPLE, interventi di IMPLANTOLOGIA, di CHIRURGIA ORALE e PARODONTALE. Al termine della seduta, il paziente non avrà particolari problemi o fastidi e potrà tranquillamente recarsi, con un’accompagnatore, al proprio domicilio.